kpromero
New member
- Joined
- Aug 9, 2014
- Messages
- 285
- Reaction score
- 8
Your welcome. We follow you on IG too!
Ya Im of no help on the hip surgery. Keep us posted on her progress. We are thinking of you and lil Rosie.
I hope she likes her new food![]()
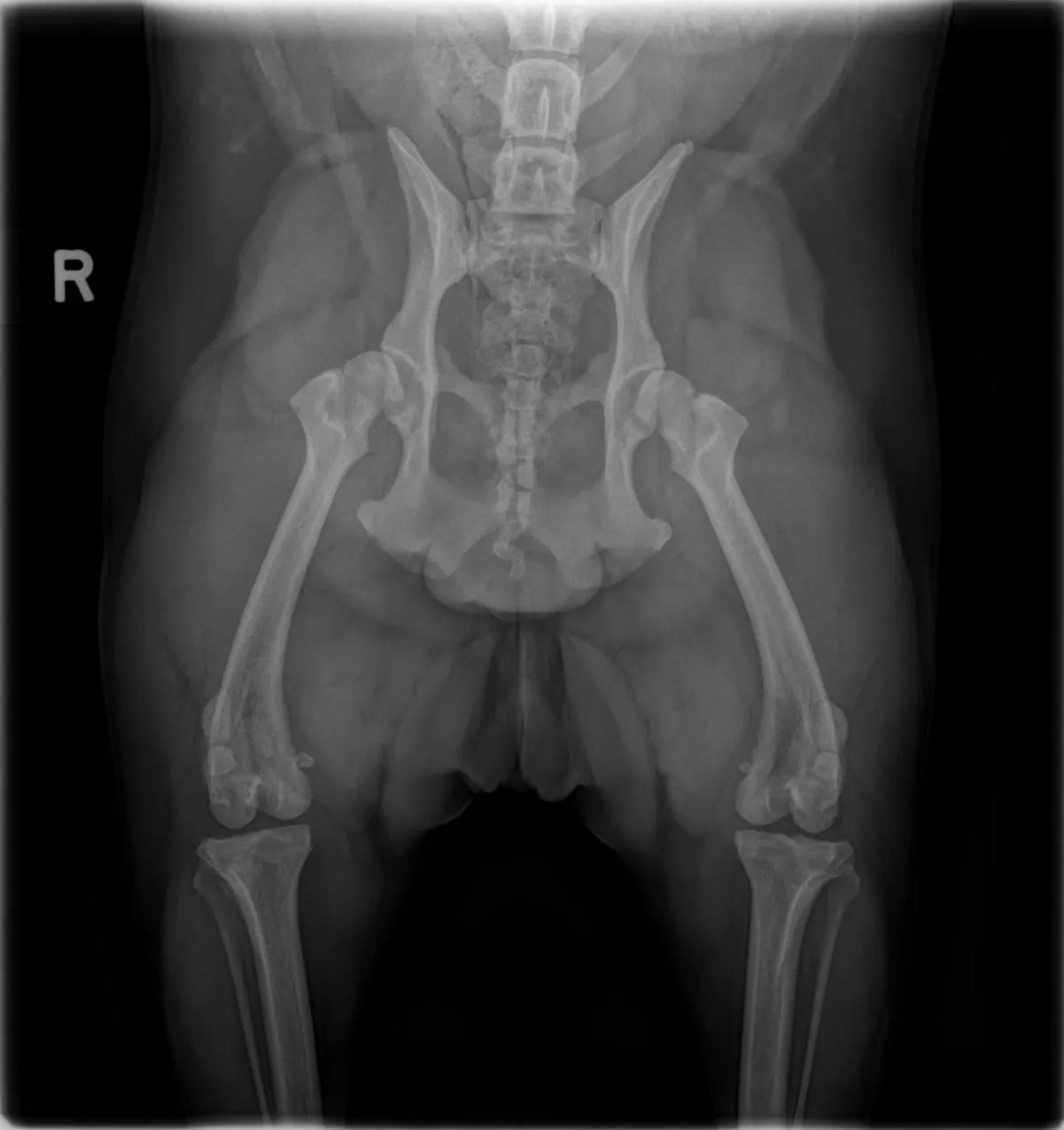
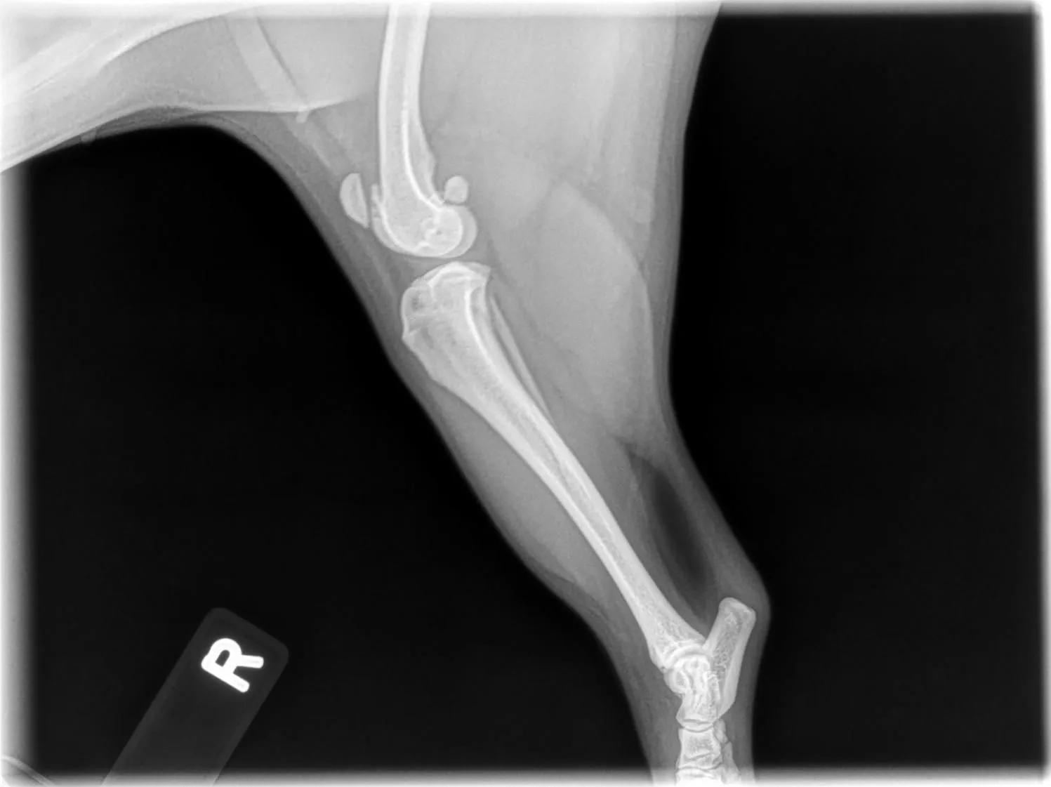
Thanks again to all for the help. Still waiting to hear what the orthopedic surgeon has to say about the x-rays that were done. Trying to keep her from running too much right now and it is becoming challenging to do so. Each night she looks at me like "Are we going to play fetch?".
Here are the x-rays that i received from the vet. Not sure if anyone on here can look at them and see what is going on.





